Наши работы
Все врачи
Назад
Все услуги
Назад


Герметизация фиссур постоянного зуба


Лечение кариеса во сне, восстановление коронками


Лечение пульпита временных зубов, герметизация фиссур постоянного зуба


Лечение пульпита временных зубов, восстановление коронками


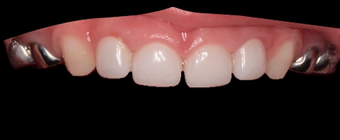
Лечение кариеса постоянного зуба


Лечение кариеса полости рта, восстановление коронками


Лечение контактного кариеса зубов


Лечение контактного кариеса зубов


Лечение кариеса постоянного зуба


Лечение кариеса молочных зубов, восстановление коронками


Лечение кариеса постоянного зуба


Лечение кариеса постоянного зуба


Лечение полости рта во сне, восстановление зубов коронками


Лечение полости рта во сне, восстановление зубов коронками


Лечение кариеса постоянных зубов


Лечение контактного кариеса полости рта


Герметизация фиссур постоянного зуба


Профессиональная гигиена полости рта


Лечение скрытого кариеса молочных зубов


Лечение скрытого кариеса молочных зубов


Лечение скрытого кариеса

Мы приглашаем вас и ваших маленьких героев посетить наши клиники для первого знакомства и первой диагностики.