Окончила ФГБОУ ВО Казанский ГМУ Минздрава России с присвоением квалификации “Врач-стоматолог”. Постоянно совершенствует свои навыки, проходя современные курсы по детской стоматологии.
Прошла ординатуру СПБГУ по специальности "Стоматология детская".
Дипломы и сертификаты
Профессиональные навыки
Мария Сергеевна ведет прием детей с молочным и сменным прикусом, проводит диагностику заболеваний полости рта на основе прицельных и панорамных рентгеновских снимков, осуществляет все лечение с увеличением бинокулярами, а также обладает следующими профессиональными навыками:
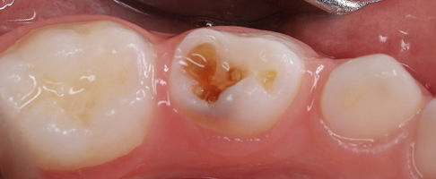
- лечение кариеса молочных зубов и его осложнений.
- герметизация фиссур молочных и постоянных зубов.
- лечение пульпита молочных зубов.
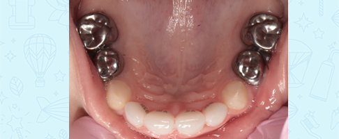
- восстановление молочных жевательных зубов коронками.
- лечение под седацией закисью азота и в медикаментозном сне.
- адаптация ребенка к лечению.
- лечение кариеса постоянных жевательных зубов.
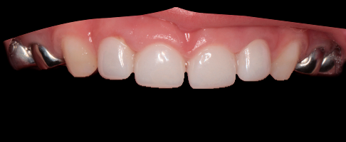
- восстановление фронтальной группы молочных зубов эстетическими циркониевыми коронками.
- реставрации жевательных зубов.
- лечение травмам молочных и постоянных зубов.
В работе доктор применяет современные биосовместимые материалы, а также изоляционную систему коффердам. Ведет фотопротокол для контроля качества работы и наблюдения результатов лечения в динамике.
Во время приема Мария Сергеевна старается как можно больше разговаривать с ребенком и родителями, чтобы собрать максимум информации и помочь разрешить проблему. Считает, что самое важное в работе детского стоматолога – провести лечение в комфортной для ребенка обстановке. Для этого она использует различные методики адаптации.
Любимый момент рабочего дня – увидеть улыбку на лице ребенка после лечения, вместе выбрать классный подарок и ждать новой встречи. Мария Сергеевна в своей работе ценит возможность общения с детьми: обсудить героев мультфильмов, новые игрушки и школьных друзей, поиграть в поп-ит, пошутить и попеть детские песни.
В общении с родителями доктор придает большое значение комфортным условиям приёма, возможности ответить на вопросы, провести подробную консультацию по каждому этапу лечения и домашней гигиене.
Мария Сергеевна является автором нескольких научных статей и обладателем гранта в области инновационной стоматологии. Планирует заниматься научными исследованиями, которые в будущем могли бы улучшить существующие технологии в детской стоматологии.
