Записаться на прием Взрослая стоматология Общая медицина
СПб, Новочеркасский пр-кт, д. 33, кор.3
СПб, Чкаловский пр-кт, д. 50 Режим работы: пн. – вс. 09:00 - 21:00
Версия для слабовидящих Версия для слабовидящих
0

  • В 2013 Елизавета Михайловна окончила Санкт-Петербургский государственный медицинский университет им. акад. И.П. Павлова - «Стоматология»

  • 2014 – окончила Санкт-Петербургский государственный медицинский университет им. акад. И.П. Павлова с присвоением квалификации - «Стоматолог общей практики»

  • 2015 - Санкт-Петербургский государственный медицинский университет им. акад. И.П. Павлова - «Стоматология детская»

  • 2017 - Санкт-Петербургский государственный медицинский университет им. акад. И.П. Павлова - «Стоматология терапевтическая»

Дипломы и сертификаты

Профессиональные навыки

Елизавета Михайловна работает по современных протоколам доказательной медицины и обладает широким спектром профессиональных навыков в лечении детей с 0 до 17 лет:

  • лечение всех видов поражений молочных зубов (кариес, пульпит, периодонтит).

  • удаление молочных зубов любой сложности.

  • реставрация молочных зубов - восстановление анатомии зубов, восстановление всех групп зубов коронками.

  • профессиональная гигиена полости рта детям.

  • профилактика кариеса (герметизация временных и постоянных зубов).

  • лечение постоянных зубов.

  • психологическая адаптация детей любого возраста к лечению.

  • лечение под седацией закисью азота и в медикаментозном сне.

  • рекомендации по домашней гигиене (обучение детей и родителей), подбор средств домашней гигиены для ребенка.

  • комплексный подход к лечению зубов, выявление взаимосвязи между развитием кариеса у детей и дефицитом витаминов и микроэлементов, рекомендации по питанию и при необходимости дополнительного обследования общего состояния здоровья ребенка.

  • реставрации послойной стратификации жевательной группы зубов

В своей работе доктор использует импортные биоинертные материалы, проводит изоляцию рабочего поля с помощью коффердам. Успешно применяет игровые методики в адаптации ребенка и знает, как победить страх перед лечением у детей с негативным опытом.

“Работа детского стоматолога заключается в создании комфортной и приятной атмосферы для детей, чтобы они получали положительные впечатления от посещения стоматолога и, конечно же, заботились о своем здоровье. Взаимодействуя с родителями, мой приоритет - ясно объяснить ситуацию в полости рта ребенка, рассказать о необходимых этапах лечения и дать советы по уходу за зубами, чтобы снять все их сомнения и настроить на позитивное лечение.

Моя самая большая мечта - чтобы в мире было больше добрых и искренних улыбок. Я уделяю своей работе очень много времени, потому что люблю ее и ценю. Для меня работа — это предоставление качественных услуг и создание приятных впечатлений для детей и их родителей.

Любимый момент в работе — это когда дети, которых я уже ранее лечила, приходят ко мне с улыбкой и благодарностью. Они могут принести свои рисунки или поделки. Это очень мило и приятно видеть, как они ценят мою помощь”.


Услуги врача

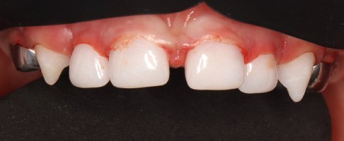
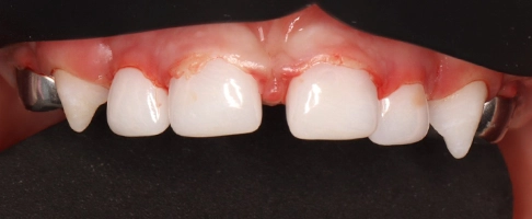
Примеры работ
work card icon
Лечение кариеса молочных зубов и восстановление коронками во сне
work card icon
Лечение кариеса молочных зубов
work card icon
Лечение кариеса молочных зубов
Что говорят родители
Все отзывы
Мы приглашаем вас и ваших маленьких героев посетить нашу клинику для первого знакомства и первой диагностики.
Как вас зовут?
Ваш телефон
Назад
Волшебное письмо доставлено!
Помощники зубной феи свяжутся с Вами в ближайшее время.

Имеются противопоказания. Необходима консультация специалиста

Мы используем cookies, чтобы обеспечить комфортное взаимодействие всех пользователей с сайтом и предоставления целевого рекомендуемого контента. Также на сайте применяется сервис Яндекс Метрика для сбора информации об использовании сайта atribeautekids.ru и всех его поддоменов. Если вы продолжаете использование сайта, вы соглашаетесь с данным фактом