Записаться на прием Взрослая стоматология Общая медицина
СПб, Новочеркасский пр-кт, д. 33, кор.3
СПб, Чкаловский пр-кт, д. 50 Режим работы: пн. – вс. 09:00 - 21:00
Версия для слабовидящих Версия для слабовидящих
0

Окончил Новосибирский государственный медицинский университет по специальности "Стоматология общей практики".

Профессиональные навыки

Обладает большим спектром лечения подростков:

  • проведение адаптационных приемов.

  • лечение кариеса постоянных и молочных зубов, включая использование системы ICON.

  • ведение пациентов с травмами зубов и мягких тканей.

  • лечение пульпита и периодонтита постоянных зубов, включая сложные случаи с незавершенным строением корня.

  • лечение с закисью азота-кислородной седацией.

  • лечение в условиях медикаментозного сна.

  • Восстановление постоянных зубов коронками.

Алексей Вадимович строго следует современным стандартам лечения зубов: применяет дентальный микроскоп, использует изоляцию рабочего поля системой коффердам, а также выбирает тактику лечения только на основании тщательной диагностики (детального фотопротокола и компьютерной томографии).

Родители отмечают умение Алексея Вадимовича найти общий язык с юными пациентами, он проводит процедуры максимально осторожно и безболезненно, подробно объясняя каждый этап.

Доктора вдохновляет помощь детям, когда получается адаптировать сложного пациента и пролечить его максимально качественно и бережно.

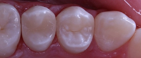
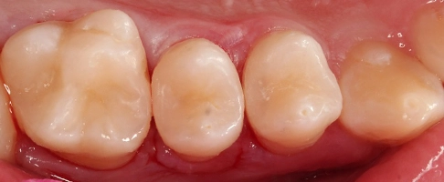
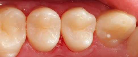
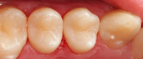
Примеры работ
Что говорят родители
Все отзывы
Мы приглашаем вас и ваших маленьких героев посетить нашу клинику для первого знакомства и первой диагностики.
Как вас зовут?
Ваш телефон
Назад
Волшебное письмо доставлено!
Помощники зубной феи свяжутся с Вами в ближайшее время.

Имеются противопоказания. Необходима консультация специалиста

Мы используем печеньки (cookies), чтобы обеспечить комфортное взаимодействие всех пользователей с сайтом и предоставления целевого рекомендуемого контента. Также на сайте применяется сервис Яндекс Метрика для сбора информации об использовании сайта atribeautekids.ru и всех его поддоменов. Если вы продолжаете использование сайта, вы соглашаетесь с данным фактом