Записаться на прием Взрослая стоматология Общая медицина
СПб, Новочеркасский пр-кт, д. 33, кор.3
СПб, Чкаловский пр-кт, д. 50 Режим работы: пн. – вс. 09:00 - 21:00
0
work card icon
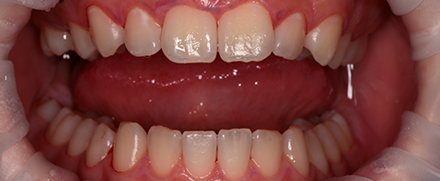
Лечение кариеса постоянного зуба
work card icon
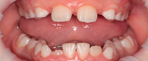
Лечение кариеса молочных зубов, восстановление коронкой
work card icon
Лечение кариеса молочных зубов
work card icon
Лечение кариеса молочных зубов, восстановление коронкой
work card icon
Профессиональная гигиена сменного прикуса
work card icon
Профессиональная гигиена постоянного прикуса
work card icon
Профессиональная гигиена постоянного прикуса
work card icon
Профессиональная гигиена сменного прикуса
work card icon
Профессиональная гигиена сменного прикуса
work card icon
Коррекция дефицита места (аппарат Марко Росса)
work card icon
Выравнивание и коррекция прикуса брекет-системой
work card icon
Лечение пульпита молочных зубов с применением закиси азота
work card icon
Лечение кариеса молочных зубов
work card icon
Лечение кариеса молочных зубов
work card icon
Лечение кариеса молочных зубов, герметизация фиссур
work card icon
Лечение кариеса молочных зубов
work card icon
Лечение кариеса молочных зубов
work card icon
Лечение кариеса и пульпита молочных зубов с применением закиси азота, восстановление коронкой
work card icon
Лечение кариеса молочных зубов с применением закиси азота
work card icon
Лечение кариеса и пульпита молочных зубов во сне, восстановление коронками
work card icon
Лечение пульпита молочного зуба во сне, восстановление коронкой
Девочка в очках
Мы приглашаем вас и ваших маленьких героев посетить наши клиники для первого знакомства и первой диагностики.
Как вас зовут?
Ваш телефон
Назад
Волшебное письмо доставлено!
Помощники зубной феи свяжутся с Вами в ближайшее время.
Запись
Мы используем cookies, чтобы обеспечить комфортное взаимодействие всех пользователей с сайтом и предоставления целевого рекомендуемого контента. Также на сайте применяется сервис Яндекс Метрика для сбора информации об использовании сайта atribeautekids.ru и всех его поддоменов. Если вы продолжаете использование сайта, вы соглашаетесь с данным фактом