Записаться на прием Взрослая стоматология Общая медицина
СПб, Новочеркасский пр-кт, д. 33, кор.3
СПб, Чкаловский пр-кт, д. 50 Режим работы: пн. – вс. 09:00 - 21:00
Версия для слабовидящих Версия для слабовидящих
0
Окончила Северо-Западный государственный медицинский университет им. И. И. Мечникова по специальности «Врач-стоматолог общей практики». Прошла ординатуру по специальности "Ортодонтия" на базе частной клиники «Конфиденция».

Дипломы и сертификаты

Профессиональные навыки

Ирина Николаевна специализируется на коррекции прикуса детям до 18 лет, применяя на практике современные технологии ортодонтического лечения.

Доктор занимается:

  • первичной профилактикой нарушений прикуса в период активного роста ребенка (дефицит места для прорезывания постоянных зубов, сужение верхней челюсти и т.д.).

  • работой с маленькими пациентами, которым по показаниям были удалены молочные зубы до их естественной смены (например, при травме или глубоком кариесе). В этих случаях доктор может установить держатель места, который поможет сохранить пространство для прорезывания постоянного зуба.

  • ортодонтическим лечением на брекет-системах и элайнерах

Ирина Николаевна в своей практике использует современные цифровые технологии для планирования раннего ортодонтического лечения, что обеспечивает идеальную посадку и надежную фиксацию аппаратов. 

Ирина Николаевна отмечает, что в работе с детьми она учитывает несколько важных пунктов: максимальный комфорт детей во время лечения, их доверие и возможность принимать участие в выборе дизайна аппарата. 

Доктор признается: «Меня вдохновляет искренность и счастье моих маленьких пациентов».

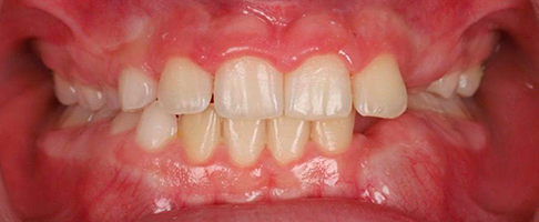
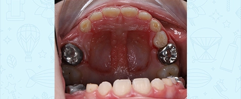
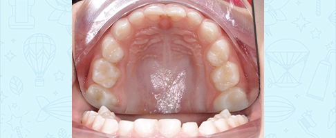
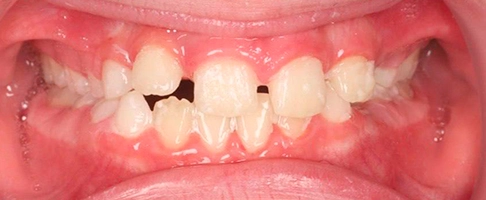
Примеры работ
work card icon
Ортодонтическое лечение на частичной брекет-системе
work card icon
Коррекция дефицита места (аппарат Марко Росса)
work card icon
Коррекция дефицита места (аппарат Марко Росса)
Что говорят родители
Все отзывы
Мы приглашаем вас и ваших маленьких героев посетить нашу клинику для первого знакомства и первой диагностики.
Как вас зовут?
Ваш телефон
Назад
Волшебное письмо доставлено!
Помощники зубной феи свяжутся с Вами в ближайшее время.

Имеются противопоказания. Необходима консультация специалиста

Этот сайт собирает cookie-файлы, данные об IP-адресе и местоположении пользователей. Дальнейшее использование сайта означает ваше согласие на обработку таких данных. Подробнее в Политике конфиденциальности.
Ок, больше не показывать