Записаться на прием Взрослая стоматология Общая медицина
СПб, Новочеркасский пр-кт, д. 33, кор.3
СПб, Чкаловский пр-кт, д. 50 Режим работы: пн. – вс. 09:00 - 21:00
0

Окончила Военно-медицинскую академию им С.М.Кирова по специальности “Стоматология”.


Профессиональные навыки

Кушвар Азеровна принимает маленьких пациентов и проводит:

  • профессиональную гигиену по швейцарскому протоколу GBT - безопасную и комфортную процедуру удаление биопленки.

  • герметизация постоянных и молочных зубов.

  • обучение правильной технике чистки зубов.

  • подбор средств домашней гигиены индивидуально для каждого пациента.

  • лечение кариеса молочных зубов.

  • лечение пульпита молочных зубов.

  • удаление молочных зубов.

Кушвар Азеровна самостоятельно выбрала профессию стоматолога, поскольку училась в лицее с медицинским уклоном, к которому была привязана стоматологическая клиника. «Мы, ученики, часто приходили на профилактические осмотры, и еще со школьных времен я запомнила эту профессию. Мне хотелось быть такой же, как врачи в клинике».

В работе с детьми и их родителями для доктора на первом месте стоит доверие и спокойствие. Кушвар Азеровна признается: «Я получаю вдохновение от нашего дружного коллектива и уютной атмосферы в клинике. Для меня самое важное - чистота, качество и комфорт для моих маленьких пациентов. А самое приятное в работе - получать искреннюю обратную связь от родителей и детей».


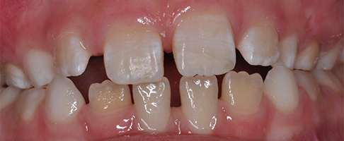
Примеры работ
work card icon
Герметизация фиссур постоянного зуба
Что говорят родители
Все отзывы
Мы приглашаем вас и ваших маленьких героев посетить нашу клинику для первого знакомства и первой диагностики.
Как вас зовут?
Ваш телефон
Назад
Волшебное письмо доставлено!
Помощники зубной феи свяжутся с Вами в ближайшее время.

Имеются противопоказания. Необходима консультация специалиста

Мы используем печеньки (cookies), чтобы обеспечить комфортное взаимодействие всех пользователей с сайтом и предоставления целевого рекомендуемого контента. Также на сайте применяется сервис Яндекс Метрика для сбора информации об использовании сайта atribeautekids.ru и всех его поддоменов. Если вы продолжаете использование сайта, вы соглашаетесь с данным фактом