Записаться на прием Взрослая стоматология Общая медицина
СПб, Новочеркасский пр-кт, д. 33, кор.3
СПб, Чкаловский пр-кт, д. 50 Режим работы: пн. – вс. 09:00 - 21:00
Версия для слабовидящих Версия для слабовидящих
0
В 2018 окончила ПСПбГМУ им.акад. И.П.Павлова по специальности "Стоматология", там же в 2021 прошла ординатуру по специальности "Ортодонтия".

Дипломы и сертификаты

Профессиональные навыки

В своей работе Юлия Львовна придерживается современных протоколов лечения и методов цифровых технологий. Занимается лечением и профилактикой различных патологий прикуса у детей с 0 до 17 лет:

  • исправление прикуса на брекет-системе, элайнерах, несъемных и съемных аппаратах.

  • профилактические съемные протезы.

  • несъемные держатели места.

  • оценка состояния уздечек и необходимость их коррекции.

Юлия Львовна чутко подходит к вопросам и задачам лечения, грамотно составляет планы и сопровождает маленьких пациентов на каждом этапе, обеспечивая комфорт и уверенность в результате.

Доктор признается: «Мне нравится наблюдать, как в процессе лечения меняется улыбка моих пациентов. Улыбка — это мощное "оружие", которое помогает бороться с комплексами и застенчивостью. Особое внимание я уделяю детскому приему, ведь результат их лечения всегда самый искренний и радостный».

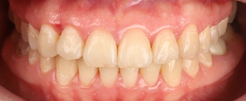
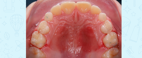
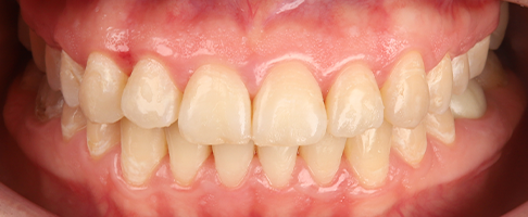
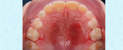
Примеры работ
work card icon
Коррекция дефицита места (аппарат Марко Росса)
work card icon
Выравнивание и коррекция прикуса брекет-системой
work card icon
Выравнивание и коррекция прикуса брекет-системой
Мы приглашаем вас и ваших маленьких героев посетить нашу клинику для первого знакомства и первой диагностики.
Как вас зовут?
Ваш телефон
Назад
Волшебное письмо доставлено!
Помощники зубной феи свяжутся с Вами в ближайшее время.

Имеются противопоказания. Необходима консультация специалиста

Мы используем печеньки (cookies), чтобы обеспечить комфортное взаимодействие всех пользователей с сайтом и предоставления целевого рекомендуемого контента. Также на сайте применяется сервис Яндекс Метрика для сбора информации об использовании сайта atribeautekids.ru и всех его поддоменов. Если вы продолжаете использование сайта, вы соглашаетесь с данным фактом