Наши работы
Все врачи
Назад
Все услуги
Назад


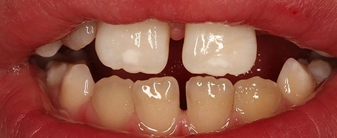
Лечение кариеса постоянного зуба


Лечение кариеса молочных зубов во сне, восстановление коронками


Лечение кариеса молочных зубов, восстановление коронками


Лечение кариеса молочных зубов


Лечение кариеса молочных зубов во сне, восстановление коронками


Лечение кариеса молочных зубов во сне, восстановление коронками


Лечение пульпита постоянного зуба


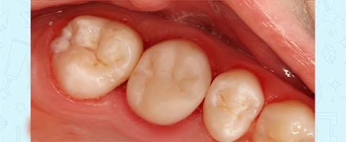
Лечение кариеса постоянных зубов


Герметизация фиссур постоянных зубов


Лечение кариеса во сне, восстановление зубов коронками


Лечение кариеса во сне, восстановление зубов коронками


Лечение кариеса во сне, восстановление зубов коронками


Лечение кариеса и пульпита во сне, восстановление зубов коронками


Лечение кариеса и пульпита во сне, восстановление зубов коронками


Лечение кариеса и пульпита, удаление, восстановление зубов коронками


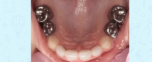
Лечение молочных зубов во сне, восстановление зубов циркониевыми коронками


Лечение кариеса и пульпита молочных зубов, восстановление зубов коронками


Лечение кариеса и пульпита молочных зубов, восстановление зубов коронками


Лечение кариеса и пульпита молочных зубов, восстановление зубов коронками


Лечение кариеса и пульпита молочных зубов, восстановление зубов коронками


Лечение кариеса постоянных зубов

Мы приглашаем вас и ваших маленьких героев посетить наши клиники для первого знакомства и первой диагностики.