Наши работы
Все врачи
Назад
Все услуги
Назад




Лечение кариеса молочных зубов


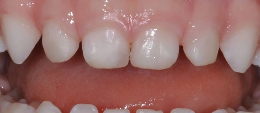
Лечение кариеса постоянных зубов


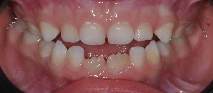
Лечение кариеса постоянных зубов


Устранение глубокой дистальной окклюзии, сужения зубных дуг, неправильного положения отдельных зубов и протрузии верхних резцов (брекет-система Damon Clear + аппарат Гербста, срок лечения - 2 г. 10 мес.)


Устранение глубокого прикуса, сужения зубных рядов, неправильного положения отдельных зубов, дистальной окклюзии и адентии (брекет-система Mini Master LP, срок лечения - 1 год и 2 мес.)


Устранение глубокого и дистального прикуса, сужения зубных рядов верхней и нижней челюстей, биретрузии и скученности зубов (брекет-система Damon Q, срок лечения - 2 года 7 мес)


Устранение мезиальной окклюзии, скученности зубов и смещения средней линии нижней челюсти (брекет-системы Damon Q+Damon Clear, срок лечения - 1 год)


Лечение кариеса молочных зубов


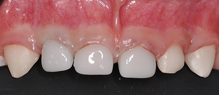
Лечение кариеса постоянных зубов


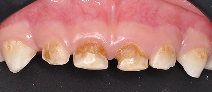
Лечение кариеса постоянных зубов


Лечение кариеса молочных зубов


Лечение кариеса молочных зубов




Лечение пульпита молочных зубов
Услуга


Лечение пульпита молочных зубов


Лечение кариеса молочных зубов во сне


Лечение пульпита молочного зуба


Лечение кариеса молочных зубов во сне


Лечение пульпита молочного зуба


Профессиональная гигиена сменного прикуса

Мы приглашаем вас и ваших маленьких героев посетить наши клиники для первого знакомства и первой диагностики.