Записаться на прием Взрослая стоматология Общая медицина
СПб, Новочеркасский пр-кт, д. 33, кор.3
СПб, Чкаловский пр-кт, д. 50 Режим работы: пн. – вс. 09:00 - 21:00
Версия для слабовидящих Версия для слабовидящих
0
work card icon
Лечение пульпита молочных зубов, лечение кариеса, коронка на молочные зубы
work card icon
Лечение кариеса молочных зубов с применением закиси азота
work card icon
Устранение неровного положения зубов (элайнеры Invisalign)
Серебряные коронки Зуб в коффердаме
work card icon
Лечение пульпита молочных зубов, коронки на молочные зубы
Зубы после лечения Ротовая полость с расширителем
work card icon
Коррекция сменного прикуса на элайнерах
Коррекция прикуса Передние зубы
work card icon
Восстановление постоянного зуба после травмы
Восстановленный цвет эмали Изменение цвета эмали
work card icon
Лечение кариеса молочных зубов во сне
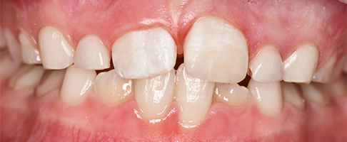
Исправление окклюзии Неправильный прикус
work card icon
Коррекция глубокого перекрестного прикуса (съемная пластинка)
Девочка в очках
Мы приглашаем вас и ваших маленьких героев посетить наши клиники для первого знакомства и первой диагностики.
Как вас зовут?
Ваш телефон
Назад
Волшебное письмо доставлено!
Помощники зубной феи свяжутся с Вами в ближайшее время.
Запись
Мы используем cookies, чтобы обеспечить комфортное взаимодействие всех пользователей с сайтом и предоставления целевого рекомендуемого контента. Также на сайте применяется сервис Яндекс Метрика для сбора информации об использовании сайта atribeautekids.ru и всех его поддоменов. Если вы продолжаете использование сайта, вы соглашаетесь с данным фактом