Записаться на прием Взрослая стоматология Общая медицина
СПб, Новочеркасский пр-кт, д. 33, кор.3
СПб, Чкаловский пр-кт, д. 50 Режим работы: пн. – вс. 09:00 - 21:00
Версия для слабовидящих Версия для слабовидящих
0
work card icon
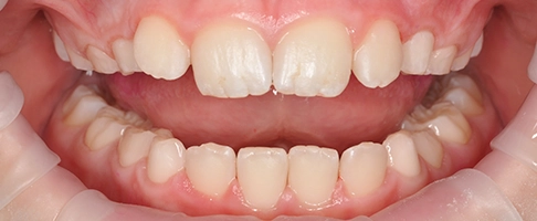
Устранение переднего перекрестного прикуса (аппарат Марко Росса)
work card icon
Устранение переднего перекрестного прикуса (аппарат Марко Росса)
work card icon
Устранение дефицита места и скученности постоянных зубов (аппарат Марко Росса)
work card icon
Коррекция временного прикуса (аппарат Френкеля)
work card icon
Лечение кариеса постоянного зуба, реставрация и герметизация фиссур
work card icon
Лечение кариеса, коронки на временные зубы
work card icon
Лечение кариеса временных зубов, герметизация фиссур постоянного зуба
work card icon
Лечение кариеса временных зубов
work card icon
Устранение дефицита места и скученности молочных зубов (аппарат Марко Росса)
Девочка в очках
Мы приглашаем вас и ваших маленьких героев посетить наши клиники для первого знакомства и первой диагностики.
Как вас зовут?
Ваш телефон
Назад
Волшебное письмо доставлено!
Помощники зубной феи свяжутся с Вами в ближайшее время.
Запись
Мы используем cookies, чтобы обеспечить комфортное взаимодействие всех пользователей с сайтом и предоставления целевого рекомендуемого контента. Также на сайте применяется сервис Яндекс Метрика для сбора информации об использовании сайта atribeautekids.ru и всех его поддоменов. Если вы продолжаете использование сайта, вы соглашаетесь с данным фактом