Наши работы
Все врачи
Назад
Все услуги
Назад


Лечение пульпита молочных зубов, восстановление коронками
Услуга


Лечение контактного кариеса молочных зубов
Услуга


Лечение контактного кариеса молочных зубов
Услуга


Лечение контактного кариеса молочных зубов
Услуга


Герметизация фиссур постоянных зубов
Услуга




Герметизация фиссур постоянного зуба
Услуга




Лечение каналов постоянного зуба, реставрация


Реставрация зуба после травмы




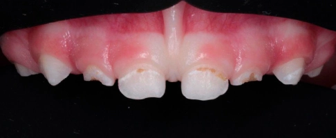
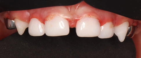
Лечение кариеса и пульпита молочных зубов во сне, восстановление коронками
Врач
Паук Мария Сергеевна


Лечение кариеса и пульпита молочных зубов во сне, восстановление коронками
Врач
Паук Мария Сергеевна


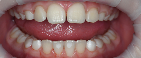
Лечение кариеса постоянного зуба
Услуга




Лечение кариеса полости рта во сне


Лечение кариеса временных зубов
Услуга


Лечение кариеса временных зубов


Лечение кариеса временных зубов


Лечение кариеса временных зубов


Лечение пульпита временного зуба в один визит

Мы приглашаем вас и ваших маленьких героев посетить наши клиники для первого знакомства и первой диагностики.