Записаться на прием Взрослая стоматология Общая медицина
СПб, Новочеркасский пр-кт, д. 33, кор.3
СПб, Чкаловский пр-кт, д. 50 Режим работы: пн. – вс. 09:00 - 21:00
Версия для слабовидящих Версия для слабовидящих
0
Серебряные коронки Зуб в коффердаме
work card icon
Лечение пульпита молочных зубов, коронки на молочные зубы
Зубы после лечения Ротовая полость с расширителем
work card icon
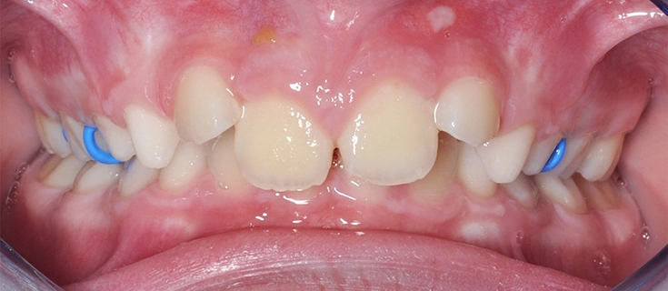
Коррекция сменного прикуса на элайнерах
Коррекция прикуса Передние зубы
work card icon
Восстановление постоянного зуба после травмы
Восстановленный цвет эмали Изменение цвета эмали
work card icon
Лечение кариеса молочных зубов во сне
Исправление окклюзии Неправильный прикус
work card icon
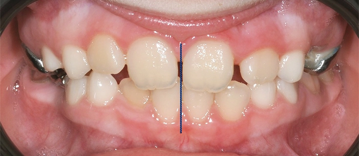
Коррекция глубокого перекрестного прикуса (съемная пластинка)
Зубы после профессиональной гигиены Гигиена после брекетов
work card icon
Профессиональная гигиена после снятия брекет-системы
Ровный зубной ряд Коффердам и зубы
work card icon
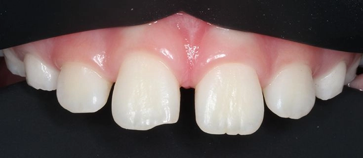
Восстановление постоянных зубов после травмы
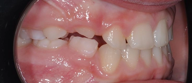
Покраснение десен Молочные зубы
work card icon
Коррекция дефицита места (аппарат Марко Росса)
Чиска фиссур Три моляра
work card icon
Лечение кариеса постоянных зубов
Зубной ряд Ротовая полость спереди
work card icon
Коррекция глубокого прикуса
Чистые фиссуры Потемнение фиссур
work card icon
Лечение молочных зубов с применением закиси азота
Зубы и метталическая деталь Два зуба
work card icon
Лечение кариеса молочных зубов
Девочка в очках
Мы приглашаем вас и ваших маленьких героев посетить наши клиники для первого знакомства и первой диагностики.
Как вас зовут?
Ваш телефон
Назад
Волшебное письмо доставлено!
Помощники зубной феи свяжутся с Вами в ближайшее время.

Имеются противопоказания. Необходима консультация специалиста

Запись
Мы используем cookies, чтобы обеспечить комфортное взаимодействие всех пользователей с сайтом и предоставления целевого рекомендуемого контента. Также на сайте применяется сервис Яндекс Метрика для сбора информации об использовании сайта atribeautekids.ru и всех его поддоменов. Если вы продолжаете использование сайта, вы соглашаетесь с данным фактом