Записаться на прием Взрослая стоматология Общая медицина
СПб, Новочеркасский пр-кт, д. 33, кор.3
СПб, Чкаловский пр-кт, д. 50 Режим работы: пн. – вс. 09:00 - 21:00
Версия для слабовидящих Версия для слабовидящих
0
work card icon
Лечение молочных зубов во сне, установка коронок на молочные зубы
work card icon
Устранение неровного положения и скученности зубов (элайнеры Invisalign). Срок лечения 11 мес.
work card icon
Реставрация после травмы зубов с использованием силиконового ключа, реставрация в технике Free hand
work card icon
Реставрация после травмы резцов с использованием скана для изготовления 3D-моделей
work card icon
Лечение кариеса постоянных зубов
work card icon
Лечение кариеса постоянных зубов
work card icon
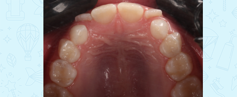
Устранение глубокой дистальной окклюзии, сужения зубных дуг, неправильного положения отдельных зубов и протрузии верхних резцов (брекет-система Damon Clear + аппарат Гербста, срок лечения - 2 г. 10 мес.)
work card icon
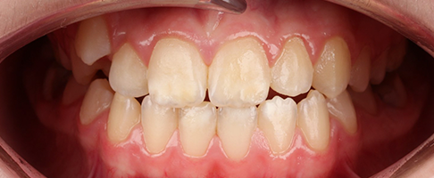
Устранение глубокого прикуса, сужения зубных рядов, неправильного положения отдельных зубов, дистальной окклюзии и адентии (брекет-система Mini Master LP, срок лечения - 1 год и 2 мес.)
work card icon
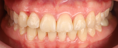
Устранение глубокого и дистального прикуса, сужения зубных рядов верхней и нижней челюстей, биретрузии и скученности зубов (брекет-система Damon Q, срок лечения - 2 года 7 мес)
work card icon
Устранение мезиальной окклюзии, скученности зубов и смещения средней линии нижней челюсти (брекет-системы Damon Q+Damon Clear, срок лечения - 1 год)
work card icon
Лечение кариеса постоянных зубов
Девочка в очках
Мы приглашаем вас и ваших маленьких героев посетить наши клиники для первого знакомства и первой диагностики.
Как вас зовут?
Ваш телефон
Назад
Волшебное письмо доставлено!
Помощники зубной феи свяжутся с Вами в ближайшее время.

Имеются противопоказания. Необходима консультация специалиста

Запись
Этот сайт собирает cookie-файлы, данные об IP-адресе и местоположении пользователей. Дальнейшее использование сайта означает ваше согласие на обработку таких данных. Подробнее в Политике конфиденциальности.
Ок, больше не показывать