Записаться на прием Взрослая стоматология Общая медицина
СПб, Новочеркасский пр-кт, д. 33, кор.3
СПб, Чкаловский пр-кт, д. 50 Режим работы: пн. – вс. 09:00 - 21:00
Версия для слабовидящих Версия для слабовидящих
0
work card icon
Лечение кариеса молочных зубов под седацией ЗАКС
work card icon
Лечение кариеса и художественная реставрация молочных зубов
work card icon
Лечение молочных зубов во сне, установка коронок на молочные зубы
work card icon
Корректировка положения резцов при улыбке (аппарат Марко Росса)
work card icon
Расширение верхней челюсти (аппарат Марко Росса)
work card icon
Устранение перекрестного прикуса, расширение верхней челюсти (аппарат Марко Росса)
work card icon
Устранение перекрестного прикуса (аппарат Марко Росса)
work card icon
Лечение молочных зубов во сне, установка коронок на молочные зубы
work card icon
Устранение неровного положения и скученности зубов (элайнеры Invisalign). Срок лечения 11 мес.
work card icon
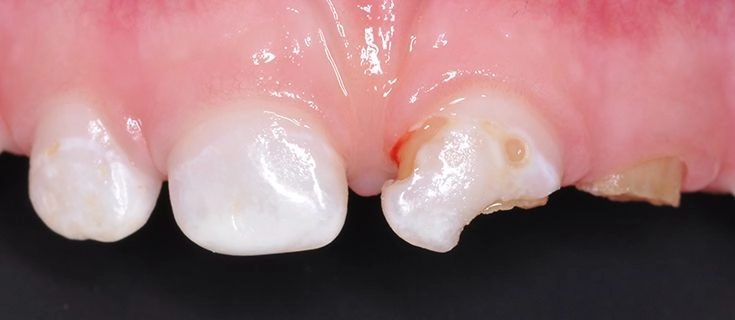
Реставрация после травмы зубов с использованием силиконового ключа, реставрация в технике Free hand
work card icon
Реставрация после травмы резцов с использованием скана для изготовления 3D-моделей
work card icon
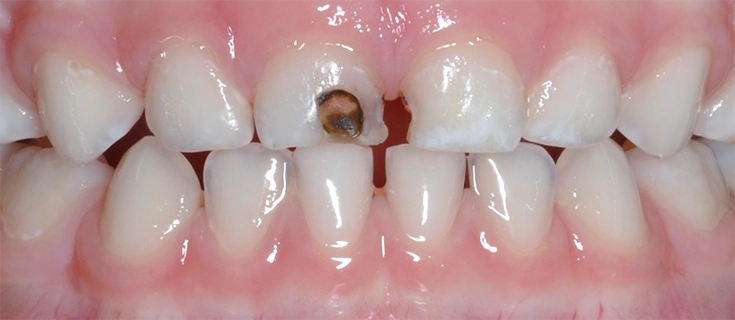
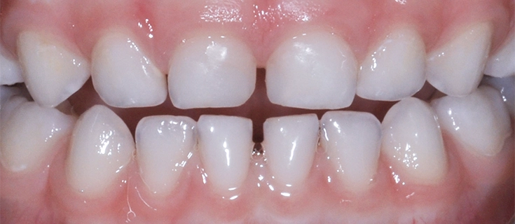
Лечение кариеса постоянных зубов
work card icon
Лечение кариеса постоянных зубов
Девочка в очках
Мы приглашаем вас и ваших маленьких героев посетить наши клиники для первого знакомства и первой диагностики.
Как вас зовут?
Ваш телефон
Назад
Волшебное письмо доставлено!
Помощники зубной феи свяжутся с Вами в ближайшее время.

Имеются противопоказания. Необходима консультация специалиста

Запись
Мы используем cookies, чтобы обеспечить комфортное взаимодействие всех пользователей с сайтом и предоставления целевого рекомендуемого контента. Также на сайте применяется сервис Яндекс Метрика для сбора информации об использовании сайта atribeautekids.ru и всех его поддоменов. Если вы продолжаете использование сайта, вы соглашаетесь с данным фактом