Записаться на прием Взрослая стоматология Общая медицина
СПб, Новочеркасский пр-кт, д. 33, кор.3
СПб, Чкаловский пр-кт, д. 50 Режим работы: пн. – вс. 09:00 - 21:00
Версия для слабовидящих Версия для слабовидящих
0

Окончил “Волгоградский государственный медицинский университет” по специальности врач-стоматолог.

Профессиональные навыки

Давид Сергеевич работает с юными пациентами и проводит:

  • профессиональная гигиена полости рта по швейцарскому протоколу GBT

  • фторирование и реминерализующая терапия для профилактики кариеса

  • адаптация детей к лечению — помогает детям расслабиться и почувствовать себя комфортно

  • индивидуальный подбор средств для домашнего ухода за полостью рта

  • справки для детского сада и школы.

Давид Сергеевич старается выстраивать с пациентами доверительные отношения, считая это основой успешного лечения. Основой его работы является применение современных международных стандартов, принципов доказательной медицины и новейших материалов для максимально эффективного лечения. Умеет работать пациентами с особыми потребностями.

"Доверие пациента — это основа всего, без него, как без глаз. А самое важное в моей работе — видеть улыбки моих маленьких пациентов."

Примеры работ
work card icon
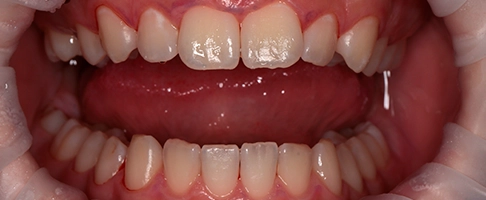
Профессиональная гигиена сменного прикуса
work card icon
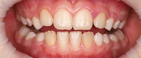
Профессиональная гигиена постоянного прикуса
work card icon
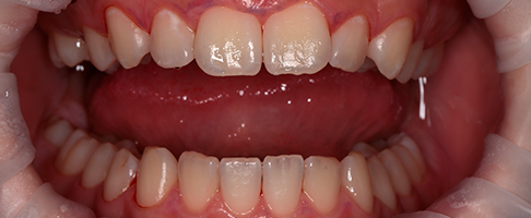
Профессиональная гигиена постоянного прикуса
Что говорят родители
Все отзывы
Мы приглашаем вас и ваших маленьких героев посетить нашу клинику для первого знакомства и первой диагностики.
Как вас зовут?
Ваш телефон
Назад
Волшебное письмо доставлено!
Помощники зубной феи свяжутся с Вами в ближайшее время.

Имеются противопоказания. Необходима консультация специалиста

Мы используем печеньки (cookies), чтобы обеспечить комфортное взаимодействие всех пользователей с сайтом и предоставления целевого рекомендуемого контента. Также на сайте применяется сервис Яндекс Метрика для сбора информации об использовании сайта atribeautekids.ru и всех его поддоменов. Если вы продолжаете использование сайта, вы соглашаетесь с данным фактом