Записаться на прием Взрослая стоматология Общая медицина
СПб, Новочеркасский пр-кт, д. 33, кор.3
СПб, Чкаловский пр-кт, д. 50 Режим работы: пн. – вс. 09:00 - 21:00
0
Окончила Первый Санкт-Петербургский государственный медицинский университет имени академика И.П. Павлова, получив диплом врача-стоматолога.

Профессиональные навыки

  • диагностика, проведение рентгенодиагностики и фотопротокола.
  • профессиональная гигиена полости рта по швейцарскому протоколу GBT.
  • фторирование и реминерализующая терапия для профилактики кариеса.
  • адаптация детей к лечению — помогает детям расслабиться и почувствовать себя комфортно.
  • индивидуальный подбор средств для домашнего ухода за полостью рта.
  • контрольные осмотры и справки для детского сада и школы.
Доктор придерживается принципов доказательной медицины и ориентируется на современные международные протоколы. В её практике нет места устаревшим методам — всё, что она делает, основано на актуальных клинических рекомендациях и научных данных.

Для каждого ребёнка подбирается персональный подход, потому что гигиена и профилактика должны быть не просто полезными, но и понятными, комфортными и даже весёлыми.

Насиба Тахировна признаётся, что адаптировать малышей к визитам в кабинет — это не только работа, но и настоящее удовольствие. Она говорит с ребёнком на его языке, превращая визит в игру и первое знакомство с медициной — в тёплое и запоминающееся событие.

“Профессиональная гигиена для детей — это без слёз, с играми и заботой. Комфорт ребёнка для меня важен и всегда на первом месте.”
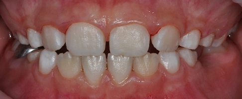
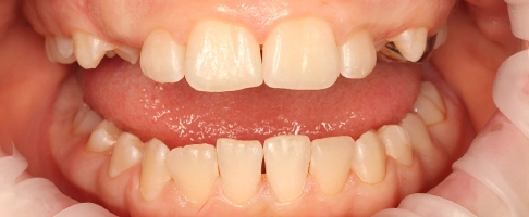
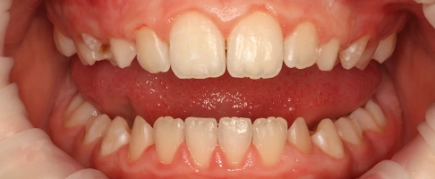
Примеры работ
work card icon
Профессиональная гигиена сменного прикуса
work card icon
Профессиональная гигиена сменного прикуса
work card icon
Профессиональная гигиена сменного прикуса
Что говорят родители
Все отзывы
Мы приглашаем вас и ваших маленьких героев посетить нашу клинику для первого знакомства и первой диагностики.
Как вас зовут?
Ваш телефон
Назад
Волшебное письмо доставлено!
Помощники зубной феи свяжутся с Вами в ближайшее время.

Имеются противопоказания. Необходима консультация специалиста

Мы используем печеньки (cookies), чтобы обеспечить комфортное взаимодействие всех пользователей с сайтом и предоставления целевого рекомендуемого контента. Также на сайте применяется сервис Яндекс Метрика для сбора информации об использовании сайта atribeautekids.ru и всех его поддоменов. Если вы продолжаете использование сайта, вы соглашаетесь с данным фактом